with our Team Today
with our Team Today
Browse our before-and-after gallery to witness the incredible results achieved by our happy clients and discover the magic of expert care and artistry.
Blepharoplasty is a surgical procedure that removes excess skin and fat from the eyelids to achieve a more youthful and refreshed appearance.
Rhinoplasty reshapes the nose for improved harmony with facial features and natural balance.
Rhinoplasty reshapes the nose for improved harmony with facial features and natural balance.
Rhinoplasty reshapes the nose for improved harmony with facial features and natural balance.
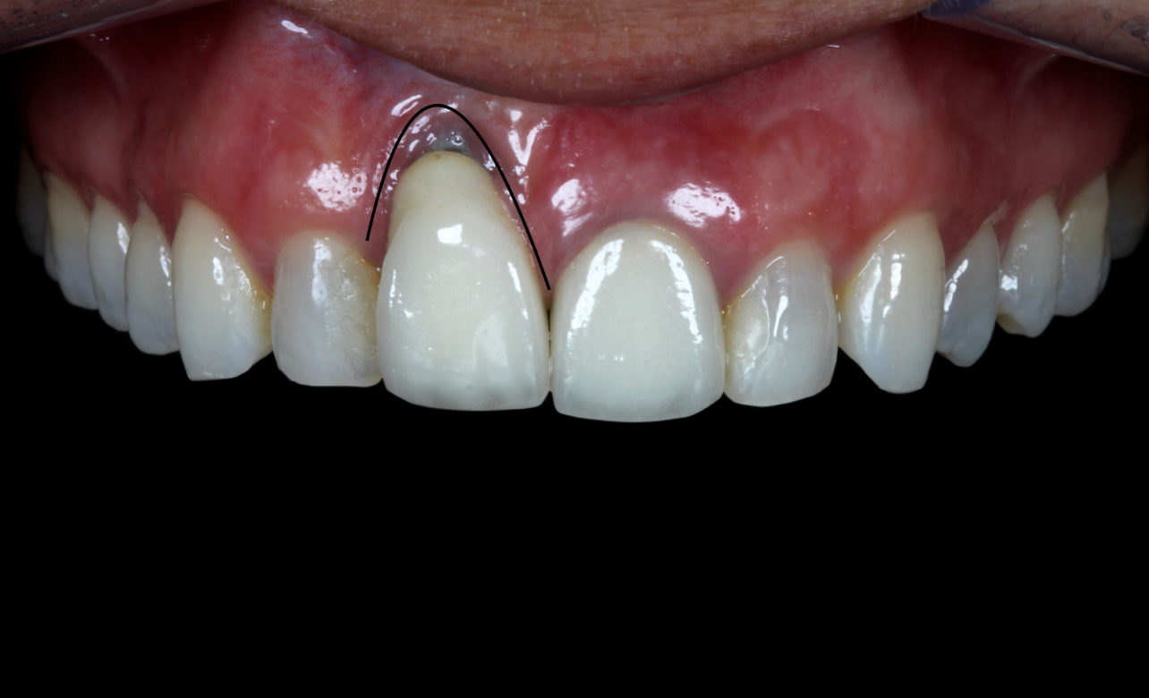
Dental veneers correct aesthetic imperfections using custom-made porcelain laminates bonded to the front surface of teeth.
Dental veneers correct aesthetic imperfections using custom-made porcelain laminates bonded to the front surface of teeth.
Dental veneers correct aesthetic imperfections using custom-made porcelain laminates bonded to the front surface of teeth.
Feldspathic porcelain veneers are ultra-thin, hand-layered restorations designed for maximum translucency and highly natural aesthetic results.
Gum surgery reshapes or restores gum tissue to improve oral health and create a more balanced, harmonious smile.
Resin veneers improve shape, color, and minor misalignments using high-quality composite material for immediate and natural-looking results.
Teeth whitening enhances your smile by safely brightening enamel for a cleaner, more radiant appearance.
Teeth whitening enhances your smile by safely brightening enamel for a cleaner, more radiant appearance.
Beard transplant creates fuller, well-defined facial hair for a masculine and natural look.
Brazil holds a world-class reputation as a leader in plastic surgery
At Elite Brazil Makeovers, we bring you the best of Brazilian medical tourism. Our expert team specializes in plastic surgery and dental makeovers, providing top-tier services in the vibrant city of São Paulo, Brazil.